联系方式:18052091425(黄山)

医学科研服务

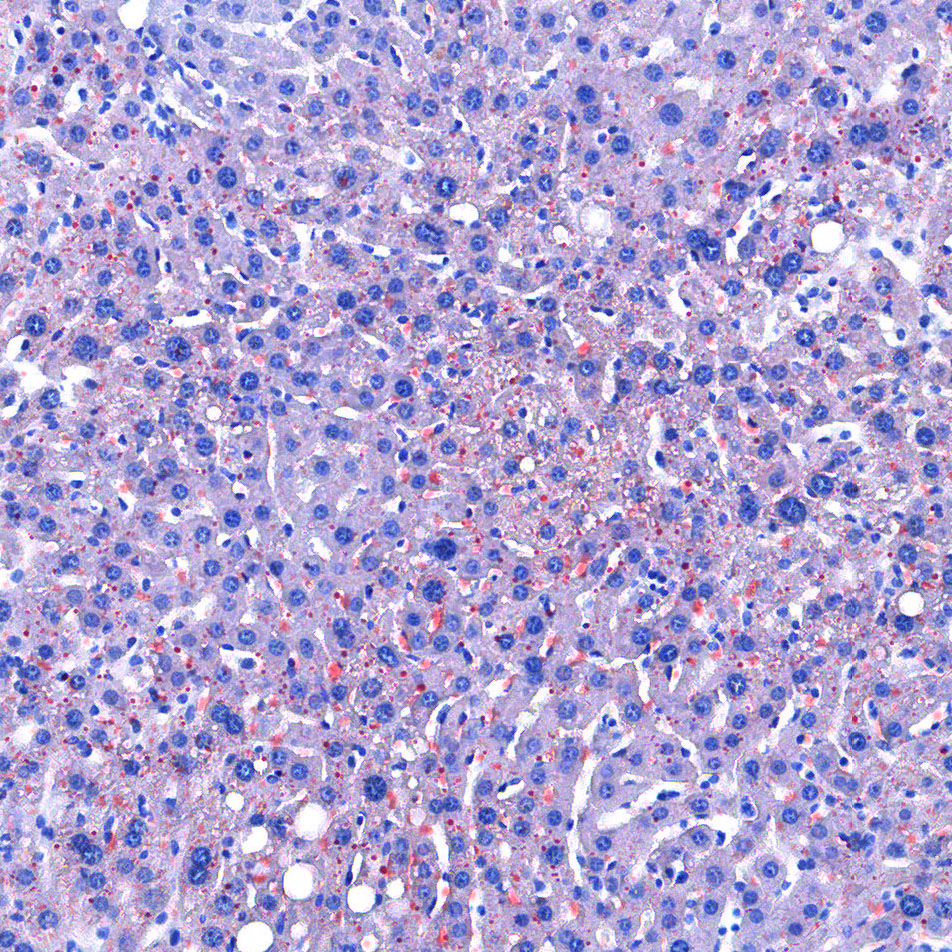
油红O染色

时间:2024-05-21

技术原理
       油红O对脂滴的染色机制一般认为是物理学上的溶液作用或吸附作用,借溶液作用使脂质染色,即油红O先溶于60%异丙醇中,然后切片浸入油红O染液中时,油红O在组织脂质的溶解度较60%异丙醇中的溶解度高,所以在染色时油红O从60%异丙醇中转移入脂质中使脂滴显示红色。
实验流程

实验结果展示:


<油红O-肝>

 
送样运输要求
       1、样本放置于20倍样本体积的固定液中固定24h以上,常温运输送样。切勿固定时间过长,切勿冷冻结冰。
       2、新鲜组织干冰运输。
       3、冰冻切片-20℃运输。